2-tägiges Ultraschallseminar
Im Kurs werden die technischen Grundlagen für einen abdominalen, pleuralen, Lungen- und kardiovaskulären POCUS bei gesunden lebenden Hunden gelehrt. Dieses einzigartige Ultraschallseminar richtet sich sowohl an Einsteiger:innen als auch an erfahrene Untersucher:innen.
Der Kurs zeichnet sich durch eine entspannte, freundliche Atmosphäre und außerordentlich engagierte und auskunftsfreudige Instruktor:innen aus. Am Ende des Kurses können Sie selbständig erste sonographische Untersuchungen von Abdomen und Thorax beim Hund vornehmen.
Theorie
In einem faszinierenden und fesselnden theoretischen Teil wird Kris Gommeren das Thema strukturiert und verständlich einführen und dabei auf alle relevanten Fakten in der Notfallmedizin eingehen. Ausführlich werden die zur Durchführung und Interpretation notwendigen „landmarks“ und „patterns“ besprochen. Kris' Begeisterung und Leidenschaft für das Verfahren überträgt sich unweigerlich auf die Teilnehmer:innen.
Praxis
In Kleingruppen werden die Teilnehmer:innen von einer erfahrenen Instruktorin bei den praktischen Übungen unterstützt. Der Fokus liegt hierbei im Erlernen der üblichen POCUS-Techniken und der sonoanatomischen „landmarks“ in standardisierten Bildebenen. Ein ausführliches und direktes Coaching wird in mehreren Runden unter Supervision durchgeführt. Mit diesem Verfahren, wird es den Untersucher:innen nach dem Seminar möglich sein, diese Schnittebenen zum Auffinden üblicher Pathologien bei instabilen Patienten anzuwenden.
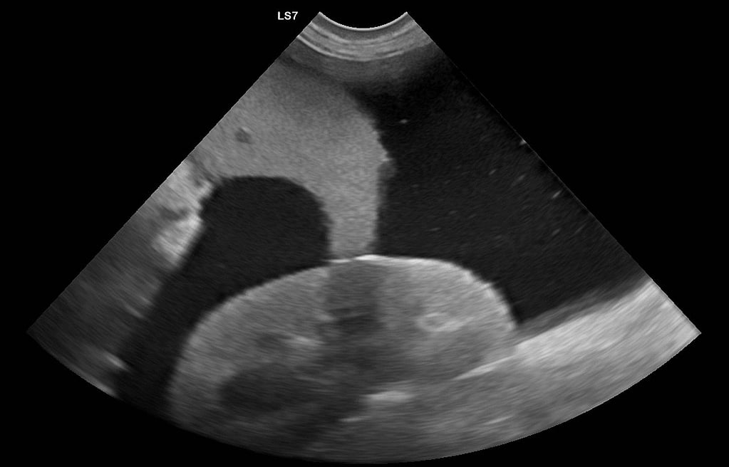
Abdominal POCUS
Durchführung im Stehen, Sitzen oder Liegen (so wie der Patient es toleriert), Einüben des POCUS-Protokolls, Darstellung aller "5 locations" mit Befunderhebung und Interpretation.

Pleural-space-and-lung-ultrasound
Durchführung im Stehen, Sitzen oder Liegen; Einüben des PLUS-Protokolls (Scan, Pneumothorax, Thoraxerguss) mit Fokus auf Identifikation der Lungengrenzen, Darstellung der Pleurallinie und abdominal curtain sign (Normalbefunde). Interpretation der vorliegenden und der Normalbefunde.

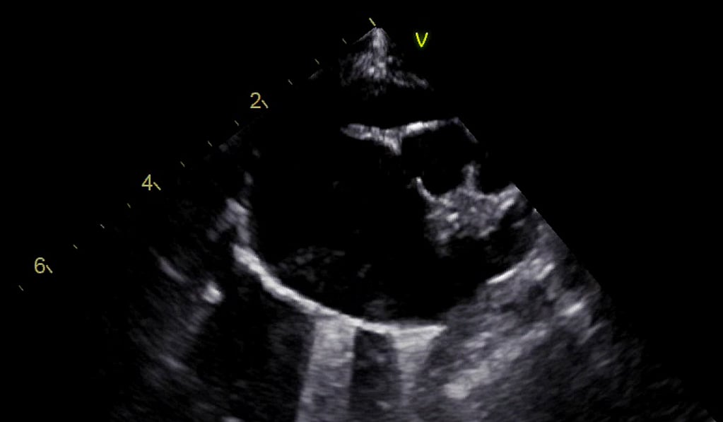
Cardiovascular POCUS
Darstellung des Herzens von rechts (stehend oder in Brust-Bauch-Lage); Einüben von Schnittebenen (von LV quer zu LA/Ao) und Darstellung der V. cava caudalis; Darstellung des pericardiaphragmatischen Fensters.